Complications Clinic


Our clinic can provide consultations to assess post-procedure aesthetic concerns. During consultation, a qualified health practitioner will review your medical history, examine the area of concern and discuss appropriate next steps.

Assessments may relate to procedures performed at this clinic or elsewhere.

The purpose of the Complications Clinic is clinical evaluation and guidance. Any outcomes, recovery or resolution vary between individuals and cannot be guaranteed.

What may be discussed in consultation

For suitable individuals, consultation may address concerns relating to:

  • swelling, firmness, asymmetry or tissue changes after cosmetic procedures

  • skin or tissue changes following injectable or device-based treatments

  • areas that feel unusual, uncomfortable or appear different from expected outcomes

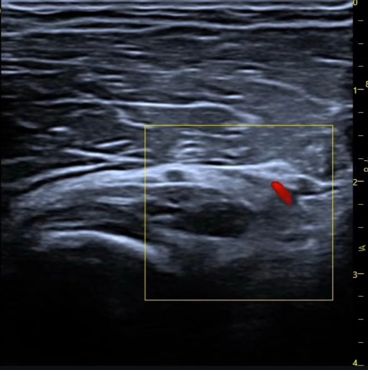
Assessment may also include ultrasound imaging, where appropriate, to assist clinical evaluation of tissue characteristics or product location.

These concerns are assessed during consultation to determine whether monitoring, referral or further clinical management may be appropriate.

Any discussion or use of prescription-only medicines occurs only during a private consultation with an appropriately qualified prescriber, in accordance with Australian regulatory requirements.

Who may be considered suitable

he Complications Clinic may be appropriate for individuals who:

  • have noticed unexpected or persistent changes following a cosmetic procedure

  • would like a professional clinical assessment of post-procedure concerns

  • wish to understand possible next steps or management options

Suitability and management options are determined after consultation and clinical assessment.

How the consultation works

During a Complications Clinic appointment, your practitioner will typically:

Take a detailed history. This may include:

  • your medical history and current medications

  • details of previous aesthetic procedures where known

  • the timing and progression of the concern you are experiencing

Perform a clinical examination

This may include:

  • visual and tactile assessment of the treatment area

  • evaluation of skin, tissue and structural characteristics

  • ultrasound imaging, where appropriate, to assist assessment

Discuss possible management pathways

Depending on the findings, the practitioner may discuss options such as:

  • observation and monitoring over time

  • non-prescription supportive measures

  • referral to another health professional, such as a GP, dermatologist, ophthalmologist or other specialist

  • discussion of whether medical intervention may be appropriate, if clinically indicated, during consultation with a prescriber

In some cases, no active intervention may be recommended

Safety, Risks and Aftercare

All clinical assessments and any subsequent procedures carry risks and may not be suitable for everyone.

Before any intervention is recommended, your practitioner will:

  • review your medical history and relevant health information

  • examine the area of concern

  • explain the proposed approach, limitations and alternatives, including choosing not to proceed

  • discuss possible risks and side effects, including less common but more serious complications

Where ultrasound imaging is used, temporary effects may include:

  • mild redness

  • temporary pressure marks at the probe site

  • brief skin sensitivity

If further treatment is recommended (whether at this clinic or another medical service), your practitioner will:

  • explain the potential benefits, limitations and alternatives

  • discuss possible risks and side effects

  • provide individualised aftercare guidance where appropriate

If signs of a serious complication are identified, you may be advised to seek urgent medical care or hospital assessment without delay.

Frequently Asked Questions

We’re all about transparency and want to provide you with the information you need to make informed decisions about your aesthetic journey. If you have any additional questions or concerns, please reach out – our knowledgeable team is here to assist you every step of the way.

  • The Complications Clinic is a clinician-led assessment service for people who are worried about changes after aesthetic procedures, such as swelling, unevenness, firmness, colour changes or other unexpected outcomes. The focus is on evaluation and guidance, rather than on promoting specific treatments.

  • Assessments are carried out by qualified health practitioners (for example, doctors or nurse practitioners) with experience in aesthetic medicine and in recognising and managing cosmetic treatment-related complications. In some situations, they may recommend that your care is shared with or transferred to another medical specialist.

  • Where appropriate, diagnostic ultrasound may be used to help visualise soft tissue structures, product placement or areas of concern. This imaging can assist the clinician in understanding what is happening beneath the skin and inform recommendations for further management. Not all cases require ultrasound; its use is decided on an individual basis.

  • Not necessarily. Some situations may be best managed with observation, minor supportive measures or referral for further medical or specialist care. The first visit typically focuses on assessment and planning. Your clinician will explain what is known, what is uncertain, and what follow-up or additional care may be advisable.

  • Any consideration or use of prescription-only medicines (including dissolving agents and other Schedule 4 products) can only occur during a consultation with an appropriate prescriber and is not promoted in advertising. If such options are clinically appropriate, risks, benefits, limitations and alternatives will be discussed privately in accordance with Australian regulations.

  • If possible, bring:

    • Any available information about your previous treatment(s), such as dates, clinic details, or product names (if known)

    • Photos from before and after the procedure, if you have them

    It is helpful to avoid heavy makeup over the area of concern so the skin and tissues can be examined clearly.

  • At the end of your visit, your clinician will:

    • Summarise the findings from your history, examination and any imaging

    • Outline recommended next steps, which might include observation, supportive measures, referral to another practitioner or discussion of possible medical interventions

    • Provide any relevant aftercare advice, including what to monitor and when to seek urgent medical attention

    You are encouraged to ask questions so you can make informed decisions about your ongoing care.

  • Yes. The Complications Clinic is open to people who have had procedures at Ageless Clinics or at other providers. You may be encouraged to also involve your original treating practitioner or other medical specialists, depending on the issue.